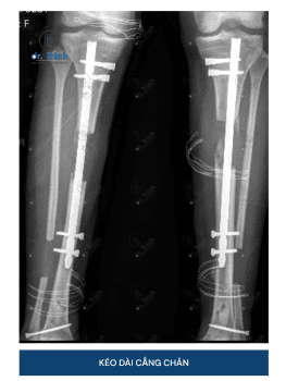
Tốt nghiệp Đại học Y Hà Nội, Thạc sĩ Chuyên ngành Chấn thương Chỉnh hình và Tạo hình tại Học viện Quân Y, tu nghiệp tại Singapore, Hàn Quốc, Nhật Bản, ThS.BS Lê Khánh Trình (Dr.Trình) thuộc đội ngũ chuyên gia hàng đầu Việt Nam trong lĩnh vực phẫu thuật kéo dài chân. Dr.Trình là một trong những bác sĩ đầu tiên triển khai kỹ thuật Kéo Dài Xương Đùi về Việt Nam và đã thực hiện nhiều ca kéo dài chân thành conog Dr.Trình tốt nghiệp Đại học Y Hà Nội, Thạc sĩ Chuyên ngành Chấn thương Chỉnh hình và Tạo hình tại Học viện Quân Y sau đó tiếp tục học tập và nghiên cứu tại Singapore, Hàn Quốc, Nhật Bản. Với hơn 10 năm kinh nghiệm, Dr.Trình đã thực hiện hàng nghìn ca phẫu thuật chấn thương chỉnh hình và kéo dài chân thành côngThS.BS. Lê Khánh Trình
Kéo Dài Chân - Dr.Trình
![]()
Sứ mệnh Tiên Phong
![]()
Quá Trình Học Tập
![]()
Kinh Nghiệm Chuyên Môn

ThS.BS Lê Khánh Trình – chuyên gia Chấn thương Chỉnh hình Bệnh viện E Trung Ương
Với hơn 10 năm kinh nghiệm, từng tu nghiệp tại Singapore, Hàn Quốc, Nhật Bản và thực hiện thành công hàng nghìn ca phẫu thuật chỉnh hình, chỉnh chân vòng kiềng và kéo dài chân.

DỊCH VỤ
DỊCH VỤ

DỊCH VỤ
Kiến thức kéo dài chân
Dr.Trình Và Bước Đột Phá Trong Phẫu Thuật Kéo Dài Xương Đùi
18/12/2024
ThS.BS Lê Khánh Trình (Dr.Trình), bác sĩ phẫu thuật đầu tiên thực hiện phẫu thuật...
Xem thêmChi Phí Phẫu Thuật Chân Vòng Kiềng: Cập Nhật Mới Nhất 2025
13/06/2025
Chân vòng kiềng là tình trạng hai chân bị cong ra ngoài, khiến đầu gối...
Xem thêmPHẪU THUẬT KÉO DÀI CHÂN – NÊN KÉO ĐÙI HAY KÉO CẲNG CHÂN?
18/11/2024
Phẫu thuật kéo dài chân đã trở thành một giải pháp phổ biến cho những...
Xem thêm























